Clínica Dental Tello Estética dental

Transforma tu sonrisa, transforma tu vida
Consigue una bonita sonrisa y empieza a sonreír sin complejos gracias a uno de nuestros tratamientos estéticos dentales.
Blanqueamiento de sonrisa o instalación de carillas de porcelana, nuestros doctores expertos en estética dental te ayudarán a mejorar tu sonrisa desde nuestra clínica dental en Zaragoza.
CUIDA LA APARIENCIA DE TU BOCA EN NUESTRA CLÍNICA EN ZARAGOZA
Estética dental en Zaragoza
Reserva tu cita en nuestra clínica dental en Calle Ángela López Jiménez, nº 1 – bajo


Nuestros doctores especializados cuentan con más de 38 años de experiencia como dentistas y casi 20 de ellos realizando intervenciones estéticas. Ponen toda su experiencia y conocimiento en los tratamientos de nuestros pacientes para conseguir sonrisas con una apariencia perfecta.
En Clínica Dental Tello utilizamos la mejor tecnología y una técnica de vanguardia para realizar los tratamientos de estética bucal. Cada boca es única, por eso nos centramos en las necesidades de cada paciente y adaptamos las herramientas a cada uno de ellos.
Confía en expertos con la experiencia del Doctor Tello o la Doctora Regaño que te ayudarán a conseguir la sonrisa perfecta en nuestra clínica estética dental en Zaragoza. Solicita una cita y consigue por fin la sonrisa que siempre has querido.

Este tratamiento elimina manchas de tus dientes y evita dientes amarillos. Ayuda a conseguir un estética bucal limpia y cuidada.
Se trata de un proceso totalmente indoloro que reduce en varios tonos el color original del diente. Se puede combinar con otros tratamientos estéticos para completar una sonrisa perfecta.

Se trata de un tratamiento estético que mediante finas lámina adheridas a los dientes corrige el esmalte dental desgastado, cubre los huecos entre dientes y oculta grietas y decoloraciones.
Es una opción interesante para daños puramente estéticos que no afectan a la mordida del paciente. Ya que es más económico que realizar implantes.

Las prótesis son pequeños fragmentos de cerámica que reemplazan partes de dientes que se han perdido. La pérdida puede ser por una caries o una fractura.
Es un tratamiento poco invasivo en comparación con la instalación de coronas (fundas). Ya que apenas hay que retirar tejido dental sano.

Con Invisalign o brackets corregimos las mordida y la estética dental.
Estos tratamientos son algo más largos pero no producen apenas dolor o molestias en los pacientes y dan grandes resultados.

Para recuperar los dientes perdidos o sustituir a los que estén muy dañados contamos con tratamientos de implantología dental.
Recupera o completa tu sonrisa con una cirugía mínimamente invasiva.
Nuestros doctores han recuperado cientos de sonrisas. Por eso muchos pacientes nos consideran la mejor clínica de tratamiento estético dental de Zaragoza. Prueba de ello son sus propios testimonios.
Maria Luz Simón Oras
Todo el tratamiento super bien explicado, con facilidades de pago ,el trato excepcional, la clínica muy buena ubicación. Y el personal todos muy amables y profesionales. La recomiendo.
Andrea L
Muy profesionales en todo lo que hacen y un trato cercano y familiar. 100% RECOMENDABLE!!
Ramón Balsera
Tengo una dentadura muy complicada y siempre he conseguido la solución adecuada. Todos los tratamientos realizados han perdurado en el tiempo y sin ningún problema.
Conoce algunos de los casos de nuestros pacientes en Zaragoza
Antes

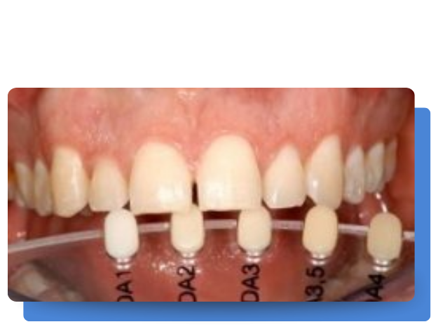
Prótesis estética
Después

Prótesis estética

Carillas dentales

Carillas dentales

Blanqueamiento

Blanqueamiento

Carillas dentales

Carillas dentales
Las carillas dentales suelen durar de 10 a 15 años, pero su duración depende de los cuidados y el mantenimiento adecuado. A mayores cuidados y calidad de la carilla más tiempo durará este arreglo estético.
El precio de las carillas dentales puede variar dependiendo de varios factores, como el material utilizado, la cantidad de carillas necesarias y la complejidad del procedimiento. Para obtener una estimación precisa, te recomendamos programar una consulta con nuestros especialistas en estética dental en nuestra clínica en Zaragoza.
Las prótesis mínimamente invasivas son restauraciones dentales que requieren una mínima eliminación de estructura dental natural, lo que las hace más conservadoras y menos invasivas que las prótesis tradicionales.
El blanqueamiento dental se puede realizar cada 6 meses a 2 años, según las necesidades y preferencias del paciente.
En general, los tratamientos de estética dental no suelen ser dolorosos, pero es posible sentir una ligera sensibilidad temporal en algunos casos.
Después de un tratamiento estético bucal, es importante mantener una buena higiene oral, evitar alimentos y bebidas que puedan manchar los dientes y seguir las indicaciones del dentista para el cuidado post-tratamiento.
Para reservar una cita en nuestra clínica en Zaragoza, puedes llamar al número de teléfono: 976 27 95 50. Nuestro personal estará encantado de ayudarte a programar una cita conveniente para ti y tu hijo.
