Clínica Dental Tello Implantología
Recupera tus dientes perdidos con nuestro equipo de médicos y odontólogos profesionales especializados en implantología dental.
Trabajamos con un proceso mínimamente invasivo que da los mejores resultados para realizar nuestros implantes dentales en Zaragoza.
Implantes dentales en Zaragoza
Recupera tus dientes perdidos con nuestro equipo de médicos y odontólogos profesionales especializados en implantología dental.
Trabajamos con un proceso mínimamente invasivo que da los mejores resultados para realizar nuestros implantes dentales en Zaragoza.
Tratamientos de implantología en Zaragoza
Reserva tu cita en nuestra clínica dental en Calle Ángela López Jiménez, nº 1 – bajo
Nuestra experiencia en Tratamientos de Implantología
Contamos con más de 36 años de experiencia realizando implantes dentales, en concreto desde 1988 cuando comenzamos. Desde entonces hemos colocado miles de implantes a nuestros pacientes.
El Dr. Tello trabajó como profesor Facultad de Odontología de Barcelona. A lo largo de sus cientos de operaciones ha continuado con su formación para traer a su consulta técnicas seguras y poco invasivas de implantología.
Según sus propias palabras:
"Tuve la gran suerte de conocer al profesor P.I. Bränemark cuando presento sus trabajos de investigación referentes a la osteointegración del titanio con el hueso. Trabajos que comenzaron en 1965 abriendo un nuevo camino para la odontología moderna.
Desde 1987, toda mi formación en implantología ha sido con el profesor Bränemark y su equipo de la Universidad de Götemborg (Suecia)."
Nuestra clínica posee la tecnología necesaria para hacer cirugías guiadas mínimamente invasivas. Esto nos permite que nuestros pacientes de Zaragoza puedan recuperarse de forma más rápida y con menos dolor tras su intervención y empezar a lucir su sonrisa perfecta lo antes posible.
Gracias a nuestro escáner y un software especial (DTX estudio) se realizan una serie de escáneres que se envían al software y allí se planifica sobre el hueso del paciente la colocación de los implantes en los sitios ideales. Estos archivos se envían a un centro de fresado y se obtiene una férula quirúrgica mediante la cual, sin necesidad de cirugía, se colocarán los implantes en el lugar exacto donde se han planificado.
Se puede utilizar solo con dientes individuales o en toda la dentadura.
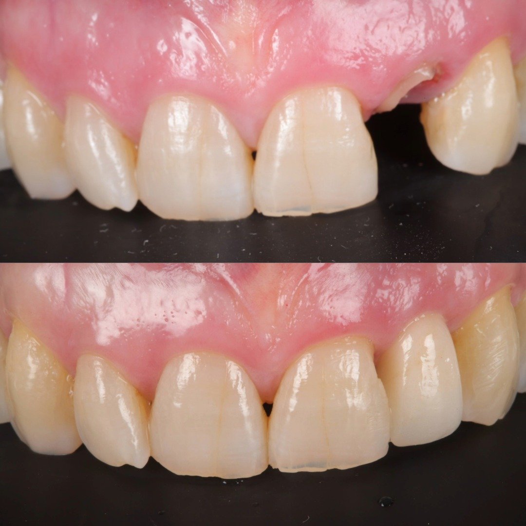
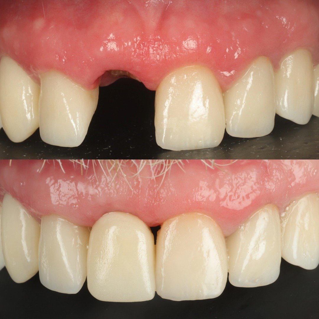
Implante dental realizado en Zaragoza
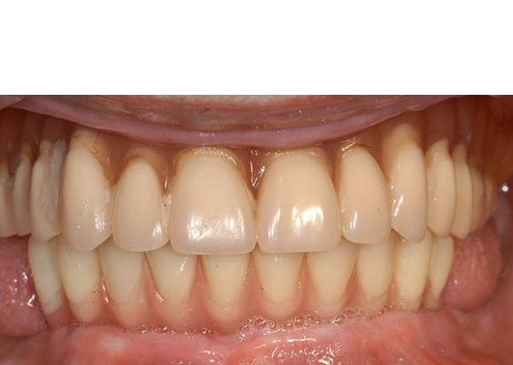
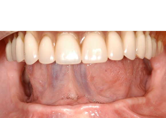
Paciente con desdentado total en el maxilar inferior
Paciente terminado con implantes y prótesis en maxilar inferior
Este es el caso de uno de nuestros pacientes en el que se implantó toda la parte frontal del maxilar inferior. Esta intervención se llevó a cabo por parte del Doctor Tello y el paciente paso de no contar con ningún diente en la parte inferior de la boca a tener instalados 10 dientes postizos atornillados completamente funcionales.
Cientos de pacientes han elegido nuestra clínica para cuidar su salud bucal. Muchos de ellos nos consideran los mejores implantólogos de Zaragoza, solo hay que leer sus comentarios para saberlo. El seguimiento, las técnicas poco invasivas y un seguimiento personalizado hace que nuestros pacientes salgan con una sonrisa perfecta de oreja a oreja.
Raquel Gistas Pros
Solo tengo muy buenas palabras para describir la cirugía de mi implante nuevo. Nada de dolor, eficacia y después de 24 horas me siento perfecta . La atención de la clínica Tello es de diez!La recomiendo 100%
Maria Luz Simón Oras
Todo el tratamiento super bien explicado, con facilidades de pago ,el trato excepcional, la clínica muy buena ubicación. Y el personal todos muy amables y profesionales. La recomiendo.
Jose Maria Figueras Bescos
Una clínica muy profesional y personal a la vez. Yo tenía problemas por falta de hueso y buscaron la mejor solución para mi caso. Instalaciones y tecnología modernas y cómodas. Altamente recomendable.
Precio de un implante dental
En Clínica Dental Tello únicamente trabajamos con implantes dentales de NobelBiocare®, que son los que vienen avalados por más publicaciones científicas de prestigio y por la Unión Europea.
Si quieres saber el precio exacto de tus implantes dentales en Clínica Tello contamos con un amplio equipo de dentistas especializados que valorarán tu caso de forma específica y harán que la relación entre los implantes dentales y el precio sea lo más satisfactoria posible.
Un implante dental es un dispositivo de titanio puro con una macro y microestructura especial capaz de hacer cicatrizar el hueso con él. De este modo, el implante funciona como si fuera una raíz dental. El profesor Bränemark denominó este proceso osteointegración.
No. Aunque pueden tener un diseño similar, hay grandes diferencias entre los implantes que se ofrecen actualmente en el mercado. La calidad de los materiales y los años de investigación que los avalan determinan la superior biocompatibilidad de unos implantes sobre otros. Cuanta más calidad tiene un implante, menos riesgo de que no se osteointegre.
Al disponer de un escáner que proporciona imágenes en 3D, podemos operar a nuestros pacientes con técnicas muy poco cruentas y poco invasivas, sin inflamación ni dolor durante la intervención y el postoperatorio. A cada paciente se le aplica la técnica más apropiada para su caso concreto.
Tratamos todo tipo de casos, desde los más sencillos a los más complejos: pacientes desahuciados, con atrofias severas, etc. Nuestra clínica en Zaragoza recibe pacientes de otras clínicas dentales para resolver estos casos de especial dificultad.
El principal enemigo de los implantes son las bacterias que algunas personas tienen en la boca permanentemente. Con procedimientos correctos de higiene por parte del paciente y controles periódicos en nuestra clínica, los implantes duran muchos años.
Tenemos muchos pacientes cuyos implantes fueron colocados hace 30 años y permanecen en sus bocas sin alteraciones.
El tratamiento con implantes se puede ver alterado o perjudicado con algunas enfermedades que el paciente pueda sufrir años después de su colocación. Es el caso, por ejemplo, de la diabetes o la quimioterapia, en las que el paciente requerirá más revisiones y controles. El tabaquismo es siempre un factor de riesgo importante.
En nuestra clínica, los pacientes casi siempre reciben dientes sobre implantes en muy pocos días (1 a 3 días) después de la intervención quirúrgica.
La mayoría de nuestros pacientes no presenta dolor, inflamación ni hematomas tras la cirugía, y no necesita baja laboral ni ausentarse de su trabajo debido a las técnicas no invasivas que utilizamos.