Clínica Dental Tello Ortodoncia

Alinea tu sonrisa, corrige tu mordida y mejora tu higiene bucal con nuestro tratamiento de ortodoncia profesional.
Contamos con la mejor tecnología en ortodoncia invisible, brackets y ortodoncia interceptiva. Confía en nuestros profesionales y déjate asesorar en nuestra clínica en Zaragoza.
Tratamientos de ortodoncia en Zaragoza
Reserva tu cita en nuestra clínica dental en Calle Ángela López Jiménez, nº 1 – bajo

ODONTÓLOGA
Nuestros profesionales llevan casi 20 años realizando ortodoncias en clínicas profesionales. Aplican sus conocimientos y experiencia a cada uno de los tratamientos de nuestros pacientes consiguiendo así mejorar la sonrisa de cientos de personas.
Ponte en manos de un equipo de confianza que además de ser Doctores certificados cuentan con el apoyo de grandes profesionales como higienistas y auxiliares de clínica. De esta forma en Clínica Tello podemos aconsejarte en todos los aspectos para que tu boca esté siempre perfecta.
Confía en los mejores dentistas de Zaragoza para que te asesoren en todo el proceso de mejora de tu mordida e higiene bucal.
La ortodoncia busca la mejor colocación de los dientes consiguiendo una mordida adecuada para una óptima masticación y una correcta apariencia estética. Como cada mordida es única el tratamiento se debe adaptar a la boca del paciente, pero ¿Qué se puede corregir con una ortodoncia?

Apiñamiento

Sobremordida

Mordida abierta

Mordida cruzada

Diastemas
A los 6 años se recomienda visitar al dentista/ortodoncista para una primera exploración y valoración
Los beneficios de este tipo de tratamiento son numerosos pero vamos a ver los principales:
Por lo tanto las ventajas de una ortodoncia va más allá de la estética y puede llegar a mejorar la salud del paciente de manera considerable.

Consiste en usar alineadores transparentes que se cambian cada 7 o 14 días según la recomendación del ortodoncista. Estos alineadores gradualmente realinean los dientes y deben usarse la mayor parte del día, excepto durante las comidas.
Son cómodos y estéticos, ya que se pueden quitar y poner fácilmente. La cantidad de alineadores varía según la complejidad del caso y puede ser aplicado en pacientes de todas las edades. A veces, para aumentar la eficacia, se usan pequeños botones transparentes llamados ataches en el exterior de los dientes.

La ortodoncia fija es la forma tradicional con Brackets en dientes, ya sean metálicos o estéticos, usando un alambre para moverlos. Adecuada para todas las edades, con opciones discretas.
Las visitas dependen de la complejidad, generalmente mensuales. Pueden causar molestias resueltas con cera. La higiene y cuidado al comer son cruciales para el éxito del tratamiento.

La ortodoncia interceptiva, para niños de 6 a 11 años, corrige el desarrollo de los huesos maxilares y guía el crecimiento facial. Se aprovecha la maleabilidad de los huesos en esta etapa.
Aborda problemas como mandíbulas y maxilares retrasados, paladares estrechos y hábitos que afectan el crecimiento. Estos hábitos incluyen la deglución atípica y la interposición labial. Detectar estos problemas desde los 6 años permite acciones interceptivas simples para prevenir tratamientos ortodónticos futuros o facilitarlos.
Ortodoncia realizada en Zaragoza

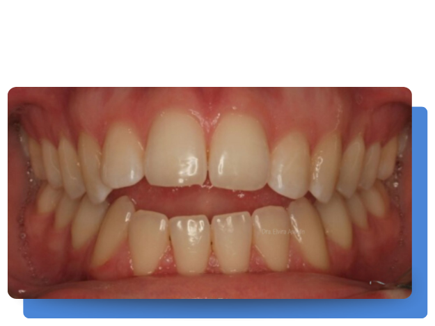
Mordida abierta

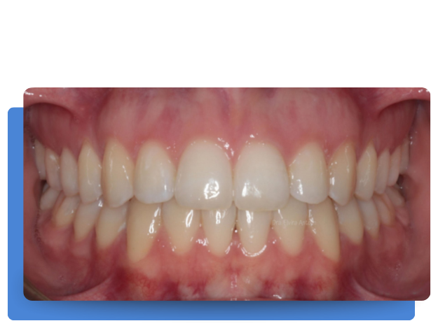
Mordida corregida
Este es el caso de uno de nuestros pacientes en el que se realizó un tratamiento de mano de nuestros odontólogos para tratar un caso de mordida abierta. Tras varios meses de utilizar el aparato correspondiente se consiguió cerrar la mordida de forma completa.
El precio varía en función de diversos factores:
Si quieres saber el precio exacto de tu ortodoncia en Clínica Tello contamos con un amplio equipo de dentistas especializados que valorarán tu caso de forma específica y harán que la relación entre los implantes dentales y el precio sea lo más satisfactoria posible.
La ortodoncia es una especialidad dental que corrige la alineación y posición de los dientes y mandíbula. Una sonrisa bien alineada no solo mejora la estética, sino también la función oral y la salud en general.
La edad puede variar, pero en general es aconsejable una evaluación a partir de los 6 años para detectar problemas tempranamente. Sin embargo, los tratamientos pueden realizarse en pacientes de todas las edades.
Ofrecemos una variedad de opciones, desde brackets tradicionales hasta alineadores invisibles, para adaptarnos a tus necesidades y preferencias.
Puede haber molestias iniciales mientras te ajustas, pero estas suelen ser temporales y pueden aliviarse con productos disponibles en la clínica.
La duración varía según el caso, pero en promedio, los tratamientos pueden durar de 12 a 24 meses.
Sí, los retenedores ayudan a mantener los resultados logrados y prevenir que los dientes regresen a su posición original.
Sí, pero es recomendable evitar alimentos pegajosos o duros que puedan dañar los brackets. Los alineadores deben retirarse durante las comidas.
Puedes llamar a nuestro número de teléfono o utilizar el formulario de contacto en nuestro sitio web para agendar tu consulta gratuita y dar el primer paso hacia una sonrisa saludable y hermosa.
