Clínica Dental Tello Microcirugía dental

Microcirugía dental en Zaragoza
Mejora la salud de tus dientes y encías con un tratamiento quirúrgico de alta precisión de la mano de nuestros especialistas las Dras. Beatriz Lorza y María Dolores Regaño en Zaragoza.
Reduce el tiempo del postoperatorio, las cicatrices e inflamaciones gracias a esta técnica mínimamente invasiva y luce una sonrisa radiante.

Mejora la salud de tus dientes y encías con un tratamiento quirúrgico de alta precisión de la mano de nuestros especialistas las Dras. Beatriz Lorza y María Dolores Regaño en Zaragoza.
Reduce el tiempo del postoperatorio, las cicatrices e inflamaciones gracias a esta técnica mínimamente invasiva y luce una sonrisa radiante.
Microcirugía dental en Zaragoza
Reserva tu cita en nuestra clínica dental en Calle Ángela López Jiménez, nº 1 – bajo

ODONTÓLOGA
Nº COLEGIADO 50000833
La microcirugía mucogingival es una técnica avanzada que utiliza instrumentos de alta precisión para corregir defectos en los tejidos blandos de la boca, mejorando tanto la función como la estética gingival.

¿Qué opinan nuestros pacientes?
Cientos de pacientes han confiado su salud bucal a nuestros doctores. Te mostramos algunas de sus opiniones.
Nacho Clua
Profesionalidad. Esa es la palabra que resume cualquier reseña sobre ellos. Higiene, magnificas instalaciones, instrumental y maquinaria. Trato exquisito. En definitiva, en muy pocas ocasiones, he tenido tan clara la máxima puntuación para un negocio de cualquier característica.
Ramón Balsera
Tengo una dentadura muy complicada y siempre he conseguido la solución adecuada.
Todos los tratamientos realizados han perdurado en el tiempo y sin ningún problema.
C. Val
Hace tres años que me puse en manos de la Dra. Regaño y el Dr. Tello, junto con su magnífico equipo. No pude tomar mejor decisión. Sin duda alguna, la mejor clínica dental de Zaragoza. Ahora en la nueva dirección, unas instalaciones con un diseño precioso. Recomendable 100%

En Clínica Tello, entendemos que cualquier intervención dental puede generar cierta ansiedad. Por eso, queremos detallar el proceso de la microcirugía mucogingival para proporcionarte tranquilidad y claridad sobre lo que puedes esperar:
Nuestros dentistas profesionales cuentan con más de 20 años de experiencia en el sector de dental y superan los 15 años realizando intervenciones bucales microscópicas. En cada intervención aplican toda su experiencia y conocimiento para que las recuperaciones de nuestros pacientes sean lo más rápidas e indoloras posibles.
Además, en Clínica Dental Tello contamos con un equipo experto que te ayudarán tanto antes como después de la intervención. Dando seguimiento a tu salud bucal y estableciendo revisiones periódicas para asegurar que tu sonrisa siempre está radiante.
Confía en los mejores dentistas de Zaragoza para que te asesoren en un momento tan delicado como es una intervención quirúrgica bucal.
La microcirugía es una técnica que utiliza microscopio quirúrgico para trabajar en la boca de los pacientes. El alto grado de precisión que conseguimos con la microcirugía hace que el postoperatorio sea muy poco doloroso y que los tejidos cicatricen sin inflamación y sin dejar cicatrices.
Se utiliza para corregir defectos en las encías. En este procedimiento, se extrae una pequeña porción de tejido conectivo del paladar del paciente y se injerta en la zona afectada, proporcionando soporte adicional a los dientes circundantes.
Esta intervención es especialmente beneficiosa para pacientes que presentan recesiones gingivales o pérdida de tejido, ya que ayuda a restablecer la integridad estructural.
Es una microcirugía dental diseñada para abordar la retracción de las encías, un problema común que puede exponer las raíces dentales y afectar la estética bucal.
Con esta técnica, se utiliza tejido del propio paciente o materiales biocompatibles para cubrir las áreas afectadas, restaurando la apariencia natural de las encías y protegiendo las raíces dentales sensibles.
Son una forma avanzada de microcirugía dental diseñada para corregir encías excesivamente altas o asimétricas, lo que puede afectar la apariencia estética de la sonrisa.
Implica la modificación cuidadosa de las encías y el hueso circundante para revelar más superficie dental y crear una proporción adecuada entre los dientes y las encías.Se centra en restaurar las papilas interdentales, las áreas triangulares de tejido entre los dientes. Promueve la salud bucal general al prevenir espacios indeseados entre los dientes y las encías.
Con esta técnica, se abordan las irregularidades o pérdidas en las papilas mediante injertos de tejido conectivo o técnicas específicas que restauran la forma y función natural.
Se enfoca en la preservación y remodelación de la estructura ósea después de la extracción de un diente. Facilita futuros procedimientos dentales, como la colocación de implantes, y contribuye a mantener la integridad de la estructura facial.
Este procedimiento ayuda a mantener la forma y la densidad del hueso alveolar, evitando la pérdida excesiva de tejido que puede ocurrir después de una extracción dental.
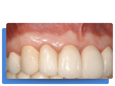
Conoce algunos de los casos de nuestros pacientes en Zaragoza

Paciente al terminar la microcirugía

Paciente después de la microcirugía
Esta intervención se realizó en nuestra clínica dental de Zaragoza. Es un ejemplo de un paciente real con el que mostramos los resultados de la intervención una vez retirados todos los puntos de la microcirugía. No se aprecia ninguna cicatriz o inflamación que afecte a la estética o funcionalidad de las encías del paciente.
La microcirugía es menos invasiva y más precisa. Utilizando instrumentos especializados de última generación, los procedimientos de microcirugía minimizan el trauma en las encías, aceleran los tiempos de recuperación y reducen el riesgo de complicaciones.
El tiempo de recuperación puede variar según el tipo de microcirugía dental realizada. En general, los pacientes pueden experimentar una recuperación inicial en unos pocos días, pero la completa cicatrización puede llevar varias semanas.
La cobertura de recesiones gingivales se centra en corregir la retracción de las encías, mientras que la reconstrucción de papila aborda la restauración de las áreas triangulares de tejido entre los dientes. Aunque ambas comparten el objetivo de mejorar la estética gingival, los procedimientos difieren en las técnicas utilizadas. La cobertura de recesiones se enfoca en extender las encías para cubrir las raíces expuestas, mientras que la reconstrucción de papila se centra en restaurar la forma y la densidad del tejido interdental.
En muchos casos, sí es posible combinar varios procedimientos de microcirugía dental en una sola visita, siempre que sea adecuado para la salud bucal del paciente. La posibilidad de combinar tratamientos se evalúa en la consulta inicial, donde se discuten las necesidades individuales y se planifica un enfoque integral para optimizar los resultados estéticos y funcionales.
Aunque la microcirugía dental es generalmente segura, como cualquier procedimiento médico, existen riesgos mínimos. Estos pueden incluir inflamación, hematomas o molestias temporales. Nuestro equipo en Zaragoza sigue estrictos protocolos de seguridad y utiliza tecnología avanzada para minimizar estos riesgos. Además, proporcionamos información detallada antes del procedimiento y ofrecemos seguimiento postoperatorio para asegurar la comodidad y recuperación óptima de nuestros pacientes.
