En Clínica Dental Tello somos especialistas en implantes dentalesRealizamos también tratamientos de estética dental, microcirugía, ortodoncia y odontopediatría
IMPLANTOLOGÍA
ESTÉTICA DENTAL
PERIODONCIA Y CIRUGÍA MUCOGINGIVAL
REGENERACIÓN ÓSEA DENTAL
ORTODONCIA
ODONTOPEDIATRÍA
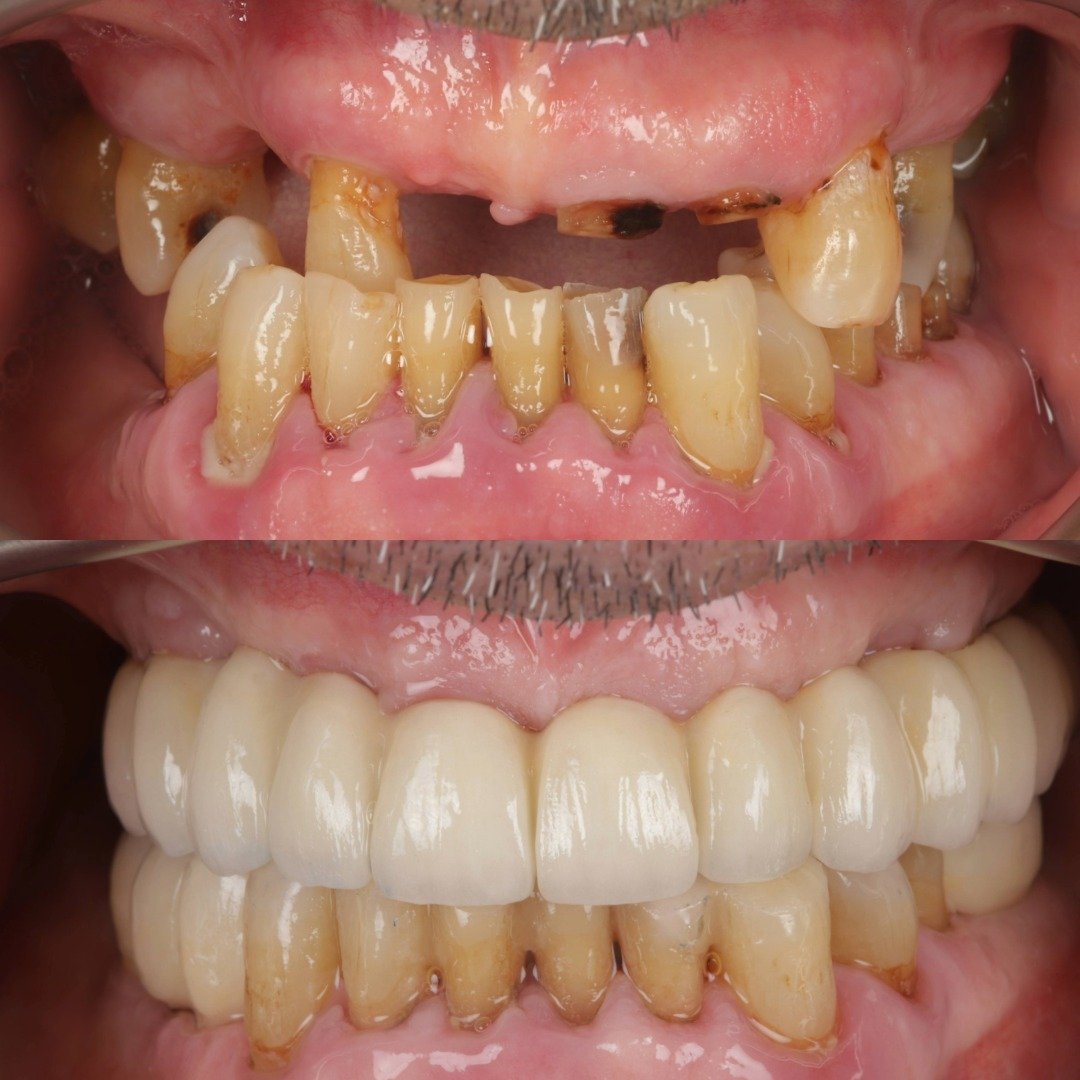
Caso 1
¿En qué podemos ayudarte? 976 279 550